Review nha khoa nhổ răng khôn êm ái

22/02/2026 • Người tiêu dùng thông thái

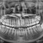
Chuyện là trước khi sắp qua Hàn mình có đi khám nha khoa tổng quát, thì chụp và phát hiện ra 2 quả răng khôn bên dưới “ngu” quá🥲. Nhưng mà gần ngày bay lắm rồi nên không có can đam nhổ. Một phần cũng vì bác sĩ ở Việt Nam bảo ca mình rất khó và nguy hiểm. Đây cho các bạn xem ảnh chụp X- quang luôn

Xong sang Hàn được 1 thời gian thì mình được giới thiệu đi nhổ răng khôn ở nha khoa Today ở Kangnam. Lúc đầu mình chỉ nhổ 2 răng trên dưới bên phải thôi. Mà nhổ ok quá nên 1 năm sau mình đã quay lại nhổ nốt 2 răng bên phải.

Vì đã bị bác sĩ Việt Nam doạ trước đó là ca mình rất khó nên mình đã rất lo lắng. Nhưng mà bác sĩ bên này mình cảm giác trẻ mà tay nghề tốt, nhổ êm ái ko đau đâu. Mình đã giới thiệu cho nhiều bạn bè mình tới đây nhổ răng khôn rồi. Bác sĩ trẻ, đẹp trai, lại còn dịu dàng tinh tế, đi nhổ răng mà tương tư lun cả bác sĩ 🤣

À có thông dịch người Việt nha nên không cần lo lắng đâu, thông dịch sẽ đứng cạnh suốt trong quá trình nhổ. Mà mình thấy nhổ răng khôn ở Hàn được bảo hiểm chi trả giá rẻ hơn ở Việt Nam nữa á. Bạn nào muốn đi nhổ thì nhớ đặt lịch trước qua facebook nha. Page Nha khoa Today avt màu hồng nha!

Chúc các bạn nhổ răng không đau✌️✌️✌️

Viết bình luận

Bình luận (4)

Cris

Bạn ơi cho mình xin link Facebook của phòng khám đó được không? Hoặc bạn chụp màn hình page đó đăng lên cho mọi người dễ tìm với nhé. Cảm ơn bạn nhiều.

22/02/2026
Vi

Mình cũng có quả răng khôn mọc lệch mà cứ nhát không dám đi. Đọc bài của bạn xong thấy có động lực hẳn. Chắc phải đặt lịch sớm thôi chứ để nó đau thì khổ lắm.

22/02/2026
Kim

Có thông dịch viên người Việt đứng cạnh suốt lúc nhổ luôn hả bạn? Nghe yên tâm quá. Mình sợ nhất là lúc đau mà không biết giải thích với bác sĩ thế nào.

22/02/2026
V

Cảm ơn bài review rất chi tiết của bạn nhé. Cho mình hỏi tổng chi phí sau khi có bảo hiểm là khoảng bao nhiêu tiền thế bạn? Mình cũng đang định đi nhổ mà sợ đắt quá.

22/02/2026